הלקוחות קבעו פה אחד:

שיקום הפה הטוב בישראל

לבדיקת ייעוץ + צילום פנורמי ו-CT ללא עלות

מלאו פרטיכם

קריית מוצקין, רח‘ דרך עכו61 טלפון: 077-3377-650

ד"ר רמי פטררו מתמחה בשיקומי פה מורכבים, בתהליך מזורז

ביצוע שיקום הפה גם במקרים מורכבים

שימוש בטכניקות שיקום גם במקרים של חוסר עצם של הלסת

שתלים ושיקומי פה - מגוון פתרונות דנטליים

שימוש בשתלים זיגומטיים במקרים קיצוניים בלסת עליונה וכן שתלים סבפריוסטליים במקרים קיצוניים בלסת התחתונה

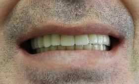
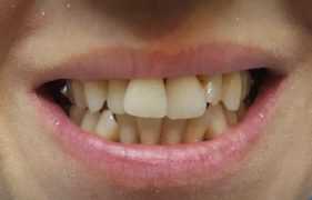
לפני

אחרי

לפני

אחרי

לפני

אחרי

מי אנחנו?

אנחנו צוות רופאי שיניים עם נסיון רב שנים, המשלבים באותה מרפאת שיניים בקריות, תחומים שונים כגון השתלות שיניים, יישור שיניים ושיקום הפה. השילוב של כל התחומים האלה במקום אחד, נותן למעשה מענה של 360° לרוב המטופלים. יחד עם זאת, מקרים מסובכים,המצריכים הרדמה כללית, נעשים במסגרת בית חולים.
המרפאה במתכונת הנוכחית, נוסדה בשנת 2007 עם דגש על השתלות שיניים, יישור שיניים ושיקום הפה. כבר מהתחלה, חיפשנו להכניס לשירותי המרפאה , את הטכניקות והטכנולוגיות הכי חדישות לטיפולי שיניים. במהלך השנים, טופלו במרפאתנו אלפי מטופלים אשר הגיעו מכל קצוות הארץ ומחוץ לארץ.
בנושא השתלות השיניים, המרפאה מעניקה טיפול בטכנולוגיה מתקדמת של השתלת שיניים ביום אחד בתכנון ממוחשב בשילוב מכשיר פנורמי ו- CT, אשר מאפשר קבלת מידע מיידי על מצב המטופל וחוסך את הצורך בהפניית המטופל למכון צילום חיצוני.
החל משנת ,2007 המרפאה מעניקה טיפולי השתלת השיניים בשיטת Damon הידועה כאחת השיטות המהירות והיעילות ביותר ליישור שיניים.
בטיפולי שיקום הפה, המרפאה מעניקה טיפולים בטכנולוגייה חדשנית כמו הלייזר הדנטלי המתקדם ביותר -LightWalker של חברת Fotona.
המכשיר החדשני מאפשר ביצוע מגוון רחב של טיפולים, החל מטיפולי שיניים פשוטים כמו הסרת אבנית וניקוי עששת ועד טיפולי חניכיים וטיפולים כירורגיים מסובכים.
בנוסף למכשיר הלייזר הדנטלי, למרפאה סורק אינטראורלי מתקדם – 3 Trios Shape של חברת 3 SHAPE, המאפשר לקיחת מידות אופטיות.

ניסיון עשיר

מעל שני עשורים ניסיון בתחום

חדשנות ומקצועיות

תכנון שתלים ממוחשב לדיוק מקסימלי, עם אחוזי הצלחה גבוהים

הכל נעשה במקום אחד

צילום פנורמי ו-T.C במרפאה

אחריות לטיפולים

הרופא עובר את כל ההשתלמויות ומתמחה בכל החידושים בתחום

תוצאות שמדברות בעד עצמן

אלפי מטופלים מרוצים לאורך השנים

מימון

פריסה נוחה עד 60 תשלומים בהוראת קבע

קריית מוצקין, רח‘ דרך עכו61 טלפון: 077-3377-650

לבדיקת ייעוץ + צילום פנורמי ו-CT ללא עלות

מלאו פרטיכם